Что необходимо знать об операции по протезированию аортального клапана
- Операция протезирования аортального клапана заключается в замене аортального клапана собственным клапаном легочного ствола
- Впервые выполнена Россом на живом человеке в 1967 г.
- Операция протезирования аортального клапана, характеризующаяся увеличением частоты ее проведения, но требующая соответствующего технического оснащения
- Показания: изолированное поражение аортального клапана у молодых пациентов (возраст 11-50 лет)
- Клапан легочного ствола заменяется аортальным или легочным аллотрансплантатом (клапан умершего человека) или биопротезом
- После протезирования аортального клапана наблюдаются очень хорошие результаты у пациентов в детском и подростковом возрасте, так как аллоимплантат растет вместе с пациентом.
Врачи подчеркивают важность КТ и МРТ диагностики при протезировании аортального клапана по Россу. Эти методы визуализации позволяют получить детальные изображения сердечно-сосудистой системы, что критически важно для оценки состояния пациента и планирования операции. КТ обеспечивает высокую точность в оценке анатомии аорты и прилегающих структур, что помогает избежать возможных осложнений. МРТ, в свою очередь, предоставляет информацию о функциональном состоянии сердца и его насосной способности, что также имеет значение для выбора оптимальной стратегии лечения. Специалисты отмечают, что комбинированное использование этих методов позволяет значительно повысить эффективность диагностики и улучшить исходы хирургического вмешательства. В результате, врачи могут более точно оценить риски и адаптировать подход к каждому пациенту, что в конечном итоге способствует повышению качества жизни пациентов после операции.

Какой метод диагностики выбрать: МРТ, КТ, ЭХО-КГ, ангиографию
Для чего проводят УЗИ сердца при протезировании клапана
- Клапан легочного ствола в аортальной позиции
- Визуализация трех кармановидных створок
- Тенденция к аортальной недостаточности (возможное осложнение)
- Оценка функции ПЖ и ЛЖ и путей оттока из ПЖ
- Визуализация аллоимплантата в позиции клапана легочного ствола.
При протезировании аортального клапана по Россу важность диагностики с использованием КТ и МРТ трудно переоценить. Многие пациенты отмечают, что эти методы позволяют получить детальное изображение сердечно-сосудистой системы, что критично для успешного проведения операции. КТ помогает в оценке анатомии аорты и выявлении возможных осложнений, тогда как МРТ предоставляет информацию о функции сердца и состоянии миокарда.
Пациенты подчеркивают, что такие исследования помогают врачам более точно планировать хирургическое вмешательство, что в свою очередь снижает риски и улучшает прогноз. Однако некоторые выражают беспокойство по поводу времени ожидания результатов и необходимости повторных обследований. В целом, большинство людей согласны с тем, что КТ и МРТ являются незаменимыми инструментами в подготовке к протезированию аортального клапана, обеспечивая высокий уровень безопасности и эффективности лечения.

Что покажет рентген грудной клетки
- При нормальной функции клапана изображение в послеоперационном периоде не демонстрирует патологии сердца и легких
- Аллоимплантат или биопротез в положении легочного клапана
- КТ позволяет лучше оценить прилежащие сосудистые структуры.
В каких случаях проводят МРТ сердца
- Признаки, сходные с ЭХО-КГ
- Лучшая визуализация путей оттока (из ПЖ и ЛЖ)
- Анализ функции клапанов и количественная оценка потоков для исключения недостаточности клапана легочного ствола и аортального клапана.

Какие инвазивные диагностические процедуры необходимы
- Обычно не показаны.

Принцип операции Росса. Пораженный аортальный клапан заменяетсяна собственный клапан из легочного стволапациента. Клапан легочного ствола заменяется на аортальный или легочный аллоимплантат или биопротез.

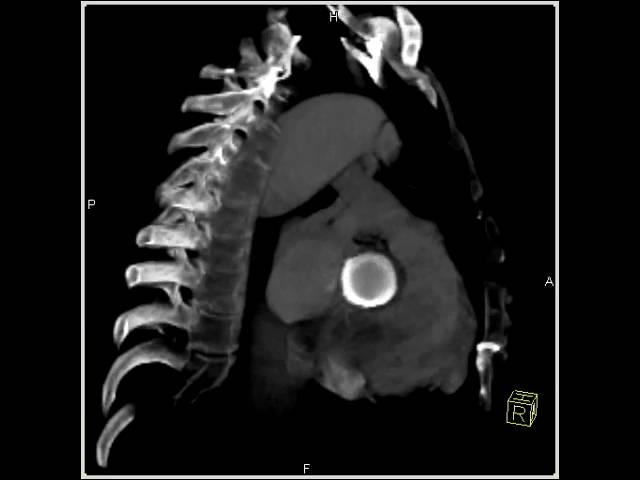
Операция Росса у мужчины 55 лет. SSFP-изображение в плоскости путей оттока из ЛЖ демонстрирует анастомоз и закрытый клапан легочного ствола в позиции аортального клапана (стрелки). Незначительный послеоперационный выпот в полость перикарда определяется как случайная находка (с разрешения B.Djavidani, UniversityofRegensburg).

Операция Росса у мужчины 55 лет. SSFP-изображение параллельно плоскости клапана демонстрирует закрытый клапан и тонкие створки клапана (стрелка) во время диастолы. Двусторонний выпот в плевральную полость определяется как случайная находка (с разрешения B.Djavidani, UniversityofRegensburg).
Клинические проявления
Типичные симптомы:
- Пациенты с неосложненным течением после протезирования аортального клапана не имеют клинических проблем
- Возможно развитие аортальной недостаточности, приводящей к возникновению СН.
Методы лечения, течение и прогноз
- Операция Росса — метод выбора у молодых взрослых пациентов и пациентов с подклапанным абсцессом.
Преимущества:
- отсутствие ограничений физической активности и стиля жизни
- Длительное сохранение функции трансплантата
- Отсутствие необходимости в использовании антикоагулянтов
- Низкая частота тромбоэмболических осложнений
- Благоприятное влияние на гемодинамику.
Недостатки:
- Операция Росса, требующая соответствующего технического оснащения
- Значительная ранняя летальность
- В дальнейшем может развиваться аортальная недостаточность, требующая повторного оперативного вмешательства (до 15%)
- Частота 20-летней выживаемости 80%
- Технические сложности при выполнении повторной операции
- Ограниченная пригодность аллоимплантата.
Что хотел бы знать лечащий врач?
- Недостаточность клапана легочного ствола
- Признаки дисфункции клапана
- Функция желудочка
- Расширение правых отделов сердца.
Советы и ошибки
Стационарная летальность во всем мире около 2,5%, что обусловливает необходимость интенсивного мониторинга в раннем послеоперационном периоде.
Вопрос-ответ
Можно ли делать МРТ с протезом аортального клапана?
Можно, если этот клапан биологический, например, свиной. В остальных случаях МРТ противопоказана.
Какие ограничения после замены аортального клапана?
После замены клапанов сердца обязателен отказ от кофе, сигарет и алкоголя, а также от жареной, жирной и чрезмерно соленой пищи, сладкого и мучного. Только соблюдение диеты поможет продлить жизнь за счет снижения риска тромбообразования.
Как проверить аортальный клапан?
Стандартная диагностика недостаточности аортального клапана включает: ЭКГ, ЭХОКГ, Rg-графию органов грудной клетки. Основным методом диагностики является трансторакальная и чреспищеводная ЭХОКГ.
Какое целевое МНО при протезировании аортального клапана?
Целевым диапазоном в соответствии со стандартом считали МНО 2,0—3,0 для больных с биопротезами и механическими протезами в аортальной позиции и МНО 2,5—3,5 — для пациентов с механическими протезами в позиции митрального клапана.
Советы
СОВЕТ №1
Перед проведением КТ или МРТ обязательно проконсультируйтесь с вашим кардиологом или хирургом. Они помогут определить, какая из процедур наиболее подходит для вашей ситуации и даст рекомендации по подготовке к исследованию.
СОВЕТ №2
Убедитесь, что у вас есть все необходимые документы и результаты предыдущих исследований. Это поможет врачу лучше понять вашу историю болезни и сделать более точные выводы на основе полученных данных.
СОВЕТ №3
Обсудите с медицинским персоналом возможные аллергические реакции на контрастные вещества, если они будут использоваться во время КТ. Это важно для обеспечения вашей безопасности и предотвращения нежелательных последствий.
СОВЕТ №4
После процедуры не спешите покидать медицинское учреждение. Дайте время врачам проанализировать результаты и обсудить с вами дальнейшие шаги в лечении и протезировании аортального клапана.