Как развивается эмфизема легких
Врачи подчеркивают важность компьютерной томографии (КТ) и магнитно-резонансной томографии (МРТ) в диагностике эмфиземы легких. Эти методы позволяют получить детализированные изображения легочной ткани, что способствует точной оценке степени заболевания. КТ, в частности, является золотым стандартом для выявления эмфиземы, так как она позволяет визуализировать изменения в легких, такие как разрушение альвеол и увеличение воздушных пространств. МРТ, хотя и менее распространена в этой области, может быть полезна для оценки состояния сосудов и окружающих тканей. Врачи отмечают, что комбинированное использование этих методов может значительно повысить точность диагностики и помочь в разработке индивидуализированного плана лечения для пациентов с эмфиземой. Правильная интерпретация полученных данных требует высокой квалификации специалистов, что подчеркивает важность мультидисциплинарного подхода в лечении данного заболевания.

Что это такое эмфизема легких?
Это стойкое увеличение воздушных пространств легких дистальнее терминальных бронхиол с деструкцией альвеол.
Признаки эмфиземы легких легкой формы обнаруживают на аутопсии в 2/3 случаев.
Основные причины и признаки эмфиземы легких:
- Гипоплазия, обусловленная бронхолегочным заболеванием
- Атрофия, т.е. потеря паренхимы. Данная форма наблюдается, например, у курильщиков (курение — наиболее важный этиологический фактор) и у пожилых людей (старческая эмфизема)
- Повышенная воздушность легких или деструкция периферических дыхательных путей (клапанный механизм, терминальная стадия воспалительных заболеваний, недостаточность a1-антитрипсина).
- Формы:
- Центролобулярная эмфизема (у курильщиков, часто связана с хроническим бронхитом, сопутствующими воспалительными изменениями и фиброзом)
- Панлобулярная эмфизема (недостаточность a1-антитрипсина, синдром Маклеода/Суайра-Джеймса, семейная форма)
- Парасептальная эмфизема.
Многие пациенты и специалисты отмечают, что КТ и МРТ являются важными инструментами в диагностике эмфиземы легких. КТ, в частности, позволяет получить детализированные изображения легочной ткани, что помогает выявить характерные изменения, такие как разрушение альвеол и увеличение воздушных пространств. Это особенно полезно для оценки степени заболевания и планирования дальнейшего лечения.
С другой стороны, МРТ используется реже, так как менее информативна для легочных заболеваний, но может быть полезна в комплексной оценке состояния грудной клетки. Пациенты часто отмечают, что процедуры безболезненны, хотя некоторые испытывают дискомфорт от длительного нахождения в аппарате. В целом, оба метода помогают врачам более точно поставить диагноз и выбрать оптимальную терапию, что значительно улучшает качество жизни пациентов с эмфиземой.

Какой метод диагностики эмфиземы легких выбрать: МРТ, КТ, рентген
Метод выбора
- КТ.

Для чего проводят рентген грудной клетки при эмфиземе
- Чувствительность метода низкая и составляет примерно 50% (легкие формы заболевания могут остаться незамеченными)
- Специфичность высокая (>90%)
- Деформация грудной клетки (бочкообразная грудная клетка вследствие увеличения сагиттального размера, широких межреберных промежутков; уплощение реберно-диафрагмальных синусов)
- Низкое стояние и уплощение диафрагмы
- Обеднение периферического легочного сосудистого рисунка
- Расширение сосудов корня легкого
- Повышенная прозрачность легочных полей
- «Эмфизематозное (легочное) сердце».
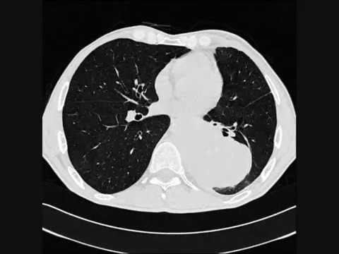
Что покажет МСКТ грудной клетки при эмфиземе
- Парасептальная эмфиземе легких — буллезная
- Поражаются преимущественно базальные сегменты легкого
- При панлобулярной эмфиземе легких нарушается архитектоника всей дольки
- При центролобулярной эмфиземе легких отмечается деструкция стенки альвеол в центре вторичных легочных долек, периферические отделы долек и сосуды интактны
- Участки повышенной рентгенопрозрачности (эмфиземный порог составляет менее -950 HU; нормальная плотность легочной ткани находится в пределах от -750 до -900 HU).
- Поражаются преимущественно краниальные сегменты легкого.
- Сосудов становится меньше
- Особая форма панлобулярной эмфиземы развивается при недостаточности a1-антитрипсина.
- Преимущественно затрагивает субплевральные и бронховаскулярные участки легкого.
Эмфизема легких у мужчины 50 лет. На обзорной рентгенограмме грудная клетка имеет колоколообразную форму, диафрагма уплощена, уровень стояния ее низкий, сосудистый рисунок легких обеднен. Незначительная изогнутость отдельных сосудов. Тень сердца уменьшена, легочный ствол выбухает.
Специфичные симптомы
- Рентгенография грудной клетки: типичная картина регионарного или глобального повышения прозрачности легочных полей и обеднение периферического сосудистого рисунка
- КТ: деструкция стенки альвеол.
Клинические проявления
Типичные симптомы эмфиземы легких:
- Нарушение дыхания зависит в основном от морфологических изменений и в меньшей степени от типа эмфиземы легких
- Старческая эмфизема легких и повышенная воздушность легких часто протекают бессимптомно
- Симптомы эмфиземы легких у «Розовых пыхтелыциков» — больные, жалующиеся на затрудненное дыхание при физической нагрузке, непродуктивный кашель при относительно нормальном содержании газов в артериальной крови
- У «синих одутловатиков» дыхание нормальное, но поражены бронхи, что проявляется цианозом и хроническим рецидивирующим бронхитом
- Признаки легочной гипертензии
- Увеличены общая емкость легких и остаточный объем; OФB1 и перфузионная способность легких снижены.
Тактика лечения эмфиземы легких
- Отказ от курения
- Профилактика легочных инфекций
- Медикаментозная терапия (бронхолитики, заместительная терапия a1-антитрипсином)
- Дыхательная терапия
- Хирургическое вмешательство (уменьшение объема легкого, буллэктомия, трансплантация легкого).
Течение и прогноз
- Осложнения включают спонтанный пневмоторакс и рецидивирующие бронхолегочные инфекции
- Ограничение функции легких коррелирует со степенью изменений легочной паренхимы
- При далекозашедшей форме заболевания прогноз неблагоприятный.
Для количественной оценки и классификации эмфиземы легких необходима КТ. Центролобулярная эмфизема (а) характеризуется мелкоузелковыми просветлениями, соответствующими раздутым альвеолам в центре ацинусов. Для панлобулярной эмфиземы (с) характерны генерализованная воздушность и деструкция легочной паренхимы. Часто встречаются переходные формы (b) между центролобулярной и панлобулярной эмфиземой. Парасептальная эмфизема наблюдается часто и обычно не имеет клинического значения (d). На представленных томограммах она сочетается с центролобулярной эмфиземой.
Что хотел бы знать лечащий врач
- Насколько выражена деструкция легочной паренхимы
- Характер эмфиземы (локальная или генерализованная?).
Какие заболевания имеют симптомы, схожие с эмфиземой легких
Легочная киста и другие кистозные поражения
— Структура стенки различима
Бронхиальная астма
— Деструкция паренхимы отсутствует
— Повышенная воздушность может пройти после назначения бронхолитиков
Облитерирующий бронхиолит
— Деструкция паренхимы отсутствует
— Перфузия легочной ткани мозаична
Лимфангиолейомиоматоз
— Встречается почти исключительно у женщин в репродуктивном периоде
— Тонкостенные кисты
— Хилезная плевральная жидкость
Гистиоцитоз X
— Узелковые изменения
Полезные советы и предостережения
- Большое число ложноотрицательных результатов исследования (легкую форму эмфиземы можно не заметить на рентгенограммах и даже на КТ с широким окном исследования)
- При рентгенологическом исследовании внелегочные факторы могут скрыть повышенную прозрачность легких.
Вопрос-ответ
Можно ли увидеть эмфизему на КТ?
Видна ли эмфизема на КТ? Да, врачи могут обнаружить эмфизему на КТ (компьютерной томографии). КТ может показать структурные изменения в легких, связанные с эмфиземой, такие как увеличенные воздушные мешочки, истончение легочной ткани и области повреждения легких.
Что лучше сделать для обследования легких: КТ или МРТ?
КТ легких считается наиболее информативным методом диагностики, которому отдается предпочтение в большинстве случаев. Компьютерная томография грудной клетки проводится при пневмонии и туберкулезе для визуальной оценки легких, определения воспалительных очагов и первичной дифференциальной диагностики заболеваний.
Как выглядит эмфизема легких на КТ?
КТ-признаки буллезной эмфиземы легких специфичны. Патология представлена множественными округлыми полостями на фоне снижения плотности легочной ткани, участками гипервоздушности, изменением соотношения кровотока и вентиляции в разных отделах органа.
Может ли МРТ обнаружить эмфизему?
На гиперполяризованной газовой МРТ кажущийся коэффициент диффузии дает индекс расширения воздушного пространства, отражающий эмфизему. Перфузионная визуализация и измерение объема легочных сосудов на неконтрастной КТ дают представление о вкладе легочных сосудистых заболеваний в легочную недостаточность.
Советы
СОВЕТ №1
Перед проведением КТ или МРТ обязательно проконсультируйтесь с врачом. Он поможет определить, какой метод диагностики наиболее подходит для вашей ситуации, и объяснит, какие результаты можно ожидать.
СОВЕТ №2
Если у вас есть аллергия на контрастные вещества, обязательно сообщите об этом врачу перед процедурой. Это поможет избежать возможных осложнений и выбрать альтернативные методы диагностики.
СОВЕТ №3
Подготовьтесь к процедуре, следуя рекомендациям медицинского персонала. Например, вам могут посоветовать не есть и не пить за несколько часов до обследования, чтобы получить наиболее точные результаты.
СОВЕТ №4
После получения результатов диагностики обсудите их с врачом. Он поможет вам понять, что означают результаты, и предложит дальнейшие шаги по лечению или наблюдению за состоянием легких.

