Причины развития болезни Крона
- В Европе и США имеются небольшие различия в заболеваемости между северными и южными регионами.
- Болезнь Крона — хроническое воспалительное заболевание кишечника с трансмуральным распространением по всем отделам пищеварительного тракта от ротовой полости до прямой кишки. Наиболее популярный синоним, терминальный илеит.
- Манифестирует обычно в возрасте 15-30 лет;
- Несколько реже встречается у женщин;
- Заболеваемость географически очень вариабельна;
- Существует генетическая предрасположенность к заболеванию, обусловливающая патологический иммунный ответ на определенные или неизвестные патогены
- Воспаление кишечника непрерывно распространяется от терминального отдела подвздошной кишки в сторону прямой кишки;
- При болезни Крона трансмуральное распространение реализуется свищами в соседние петли кишечника и через кишечную стенку в мягкие ткани и суставы;
- Могут развиваться кишечные абсцессы.
Врачи отмечают, что диагностика болезни Крона с помощью МРТ и КТ брюшной полости играет ключевую роль в определении стадии заболевания и оценки его распространенности. Эти методы визуализации позволяют получить детализированные изображения кишечника и окружающих тканей, что помогает выявить воспалительные изменения, стриктуры и абсцессы. Специалисты подчеркивают, что МРТ особенно полезна для пациентов, у которых необходимо минимизировать облучение, в то время как КТ обеспечивает более быстрое получение результатов. Однако важно учитывать, что интерпретация снимков требует высокой квалификации радиологов и гастроэнтерологов. Совместное использование этих методов с клиническими данными и лабораторными исследованиями позволяет врачам более точно ставить диагноз и разрабатывать эффективные планы лечения.

Какой метод диагностики болезни Крона выбрать: КТ, МРТ, эндоскопия, рентген
Методы выбора
- эндоскопическое исследование, УЗИ, МР-ирригография.
Диагностика болезни Крона с помощью МРТ и КТ брюшной полости вызывает множество обсуждений среди врачей и пациентов. Многие специалисты отмечают, что эти методы визуализации позволяют получить детальное изображение кишечника, что особенно важно для выявления воспалительных процессов и осложнений. Пациенты, в свою очередь, часто делятся опытом, подчеркивая, что такие исследования помогают не только в диагностике, но и в мониторинге состояния заболевания. Однако есть и критические мнения: некоторые считают, что МРТ и КТ могут быть избыточными и не всегда необходимыми, особенно на ранних стадиях. Важно, чтобы каждый случай рассматривался индивидуально, и выбор метода диагностики основывался на клинической картине и рекомендациях врача.

Отличительные признаки болезни Крона
- Воспаление кишечника характеризуется утолщением кишечной стенки (тонкого кишечника — более 2 мм, толстого кишечника — более 3 мм при растяжении);
- Выраженное контрастное усиление в активную фазу;
- Вид «булыжной мостовой» — характерная особенность терминального илеита;
- Отсутствие гаустрации;
- Пролиферация фиброзной и жировой тканей (симптом «ползущего жира»);
- Нормальные и пораженные сегменты кишки перемежаются (прыгающие очаги);
- Увеличение в размерах лимфатических узлов;
- Осложнения: стриктуры, абсцессы, свищи.
Для чего проводят эндоскопию кишечника при болезни Крона
- Данные зависят от тяжести заболевания;
- Ранние изменения: афтозные эрозии и изъязвления здоровой слизистой оболочки;
- Поздние изменения: продольные и поперечные изъязвления создают вид «булыжной мостовой», стенозы, свищи.

Проводят ли УЗИ брюшной полости при болезни Крона
- Имеет большую важность как метод первичной диагностики болезни Крона;
- Утолщение стенки кишки, в которой в развернутую фазу заболевания определяются признаки усиления кровотока (выявляется с помощью цветной допплерографии или при использовании контрастных средств для УЗИ);
- В утолщенных сегментах кишки перистальтика снижена;
- Хорошо могут быть визуализированы стенозы.
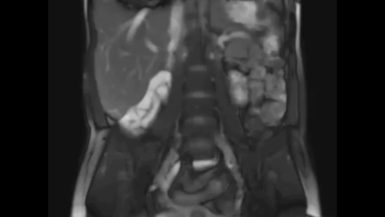
Что покажут снимки МРТ брюшной полости при болезни Крона
- Стенка кишки значительно утолщена в активную фазу заболевания;
- Может присутствовать четкое разделение на слои;
- Стенка кишки и воспаленная рядом расположенная ткань накапливают контраст;
- Острое воепаление (отек) хорошо визуализируется на Т2-взвешенных изображениях в режиме подавления сигнала жировой ткани;
- Стенка кишки и окружающая ее ткань гиперинтенсивны;
- Метод позволяет визуализировать стриктуры, свищи и абсцессы с высокой достоверностью.
Зачем проводят ирригоскопию при болезни Крона
- Повреждения слизистой оболочки представлены изъязвлениями, которые в тяжелях случаях могут создавать вид «булыжной мостовой»;
- Свищи;
- Стриктуры;
- Этот вид диагностики все больше замещается КТ и МРТ.
Болезнь Крона. Фрагмент ирригограммы. Нормальные петли кишечника визуализируются непосредственно по соседству с воспаленными петлями, в которых дифференцируется вид «булыжной мостовой», формируемый продольными и поперечными изъязвлениями.
Что покажут снимки КТ брюшной полости при болезни Крона
- В фазу максимального воспаления утолщенная стенка кишки интенсивно накапливает контраст;
- Метод можно использовать для диагностики осложнений;
- Этот вид диагностики несколько более информативен, чем МР-ирригография;
- КТ необходимо использовать с осторожностью, поскольку исследование сопровождается поглощением относительно высоких доз ионизирующего излучения, а пациенты в основном молодого возраста.
а-с Болезнь Крона. МР-ирригография. Длинный сегмент утолщенной кишечной стенки хорошо визуализируется в корональной проекции на Т2- (а) и Т1-взвешенных изображениях (b).
После внутривенного введения контраста (с) утолщенная стенка петли терминального отдела подвздошной кишки резко усиливается, что является индикатором пика воспалительного процесса.
Клинические проявления
Симптомы воспаления тонкого и толстого кишечника:
- Боль в животе
- Диарея
- Лихорадка
- Снижение массы тела
- Признаки недостаточности питания
- Кишечное кровотечение при поражении толстого кишечника
- Анальные свищи.
Внекишечные проявления илеита:
- Артрит
- Иридоциклит
- Афтозный стоматит
- Узловая эритема
- Холелитиаз
- Нефролитиаз
- Первичный склерозирующий холангит
- Анкилозирующий спондилит.
Принципы лечения
При появлении признаков заболевания необходимо своевременно обратиться к врачу или в случае «острого» состояния вызвать скорую помощь для проведения квалифицировнного лечения в условиях стационара. Поскольку, казалось бы, безобидная на первый взгляд диета или самостоятельное лечение при воспалении кишечника могут повлечь за собой тяжелые последствия.
При установлении диагноза болезнь Крона в ответ на вопрос чем лечить данное воспаление кишечника назначается базисная группа препаратов с учетом степени тяжести заболевания:
- Преднизолон и 5-аминосалициловая кислота
- Инфликсимаб (ремикейд)
- При появлении симптомов осложнений болезни Крона, таких как стриктуры, свищи и абсцессы, лечение оперативное (80% страдающих болезнью Крона хотя бы раз в течение жизни проводят хирургическое вмешательство).
Течение и прогноз
- Клиническое течение может значительно варьировать по тяжести
- Ни в одном случае течение болезни предсказать невозможно
- В течение 1-го года после установления диагноза сохраняется высокий кумулятивный риск рецидива — 50%
- Распространение на ободочную кишку приводит к повышению риска рака ободочной кишки.
Что хотел бы знать клиницист
- Активность
- Исключить другие воспалительные и опухолевые заболевания кишечника
- Тяжесть
- Осложнения.
Какие заболевания имеют симптомы, схожие с болезнью Крона
Болезнь эрозивный илеит кишечника и язвенный колит толстого кишечника клинически очень схожи, однако при последнем:
- Нет абсцессов и свищей
- Тонкая кишка не поражается
- Поражается только слизистая оболочка
- Распространяется от прямой кишки к слепой
Ишемическийколит
- Сосудистые изменения
- Пациенты пожилого возраста
- Снижен кровоток в стенке кишки
Инфекционныйэнтерит
- Короткий анамнез
- Обычно обнаруживается активная перистальтика в пораженных сегментах кишки
Лекарственное поражение кишки НПВП
- Стриктуры имеют очень короткую протяженность
- Не выражено в терминальном отделе подвздошной кишки
Лимфома
- Утолщение стенки, сочетающееся с расширенным просветом кишки (некроз слизистой оболочки)
- Увеличенные лимфатические узлы брыжейки
Болезнь Бехчета
Не может быть распознана стандартными диагностическими средствами
Советы и ошибки
- Для правильной оценки клинических симптомов и лечения хронического терминального илеита как следующего этапа важна своевременная диагностика заболевания инструментальными методами.
- Спавшиеся петли кишечника могут быть ошибочно приняты за утолщение кишки;
- МР — или КТ-ирригография не показаны при ранних и мягких формах (показаны только при запущенных формах болезни Крона, когда высока вероятность осложнений — свищей, абсцессов, стриктур).
Вопрос-ответ
Можно ли увидеть болезнь Крона на КТ?
Лучевые методы исследования, в частности, КТ-энтерография, позволяют достоверно выявлять болезнь Крона и оценивать внекишечные проявления и осложнения этого заболевания.
Можно ли на КТ брюшной полости увидеть проблемы с кишечником?
КТ может помочь в диагностике следующих заболеваний: травмы желудка и кишечника, желудочно-кишечные кровотечения, болезнь Крона, воспалительные заболевания кишечника.
Какое обследование покажет болезнь Крона?
При подозрении на болезнь Крона назначаются лабораторные анализы: крови — развёрнутый общий и биохимический, кала — на скрытую кровь, фекальный кальпротектин.
Что лучше для диагностики кишечника МРТ или КТ?
Информативность КТ-виртуальной колоноскопии в области обследования толстого кишечника лучше, чем МРТ ЖКТ. Однако это сканирование сопряжено с дозой облучения до 10 мЗв. Обследование тонкого кишечника — одна из самых сложных диагностических задач.
Советы
СОВЕТ №1
Перед проведением МРТ или КТ обязательно проконсультируйтесь с врачом-гастроэнтерологом. Он поможет определить, какой метод диагностики будет наиболее эффективным для вашего случая и какие именно области следует исследовать.
СОВЕТ №2
Обратите внимание на подготовку к исследованию. Для получения наиболее точных результатов может потребоваться специальная диета или временное ограничение в приеме пищи. Следуйте рекомендациям врача, чтобы минимизировать искажения на снимках.
СОВЕТ №3
Не стесняйтесь задавать вопросы во время процедуры. Если вы чувствуете дискомфорт или у вас есть сомнения, сообщите об этом медицинскому персоналу. Они помогут вам справиться с тревогой и обеспечат комфорт во время исследования.
СОВЕТ №4
После получения результатов обязательно обсудите их с вашим врачом. Он сможет объяснить, что означают снимки, и предложить дальнейшие шаги в лечении или дополнительную диагностику, если это необходимо.


